Start your journey to a perfect smile. Leave us your details and we'll be in touch to book your free assessment. .
Our dental experts will take a 3D scan of your teeth which will allow us to assess the current situation on and the extent of the corrections needed. We will then use this scan to design your bespoke Invisalign treatment plan. During this process, we will show you a computer-generated preview of your new smile and inform you of the estimated time it will take to achieve the desired results.
If you are happy to proceed we will create your custom aligners used over the following months to achieve your perfect smile. These aligners are virtually invisible and removable meaning they fit seamlessly into your everyday life.
After you have completed your treatment we will provide you with a free set of retainers that you use only at night when you sleep to keep your beautiful smile in place.
Amazing dentist! I am so happy with my experience here and the outcome of my invisalign treatment followed by teeth whitening I just cannot stop smiling- my teeth look amazing The amount of compliments I have had since having them done is a testament to the amazing care and attention to detail they take here. I Would highly recommend Amar and his team for any of the services they offer
Manjula Rabheru
Marsh Farm Dental Practice Google Review
Looking for a straighter smile? Invisalign uses the latest technology to provide the results you desire in as little as 6 months.
Book your 3D iTero scan todayA 3D scan of your mouth enables us to produce a video simulation that shows exactly how your teeth will realign. If you want to proceed, a series of discreet, clear aligners can then be tailor made to gradually move your teeth into the desired position.
Or call 01582 503040 and speak to our friendly teamSo convenient – Invisalign braces are removable for easy cleaning and eating.
An open bite is classified when the top and bottom teeth do not touch each other when the mouth is fully closed resulting in a clear gap between them.
A deep bite or overbite occurs when the upper front teeth come down too far over the bottom front teeth when the jaw is closed.
Also known as diastema, gapped teeth are when there is a clear, distinct gap seen between the teeth.
Crowded teeth occur when there is not enough space in the jaw for the teeth to fit normally. This can result in crooked teeth that overlap each other.
An underbite is when your lower teeth extend over your upper teeth.
A crossbite occurs when your teeth do not align properly when the jaw is closed.
More than 20,000 straight smile speaks for themselves. Book a free consultation with Marsh Farm Dental today.
Fill In Your Details → Fill In Your Details →A free assessment by a dentist who will analyse your case, provide advice and offer solutions for you to consider.
Spread the cost of your treatment at no extra cost with our 0% finance plans.
Because we want you to achieve the bright, confident smile you've always wanted.
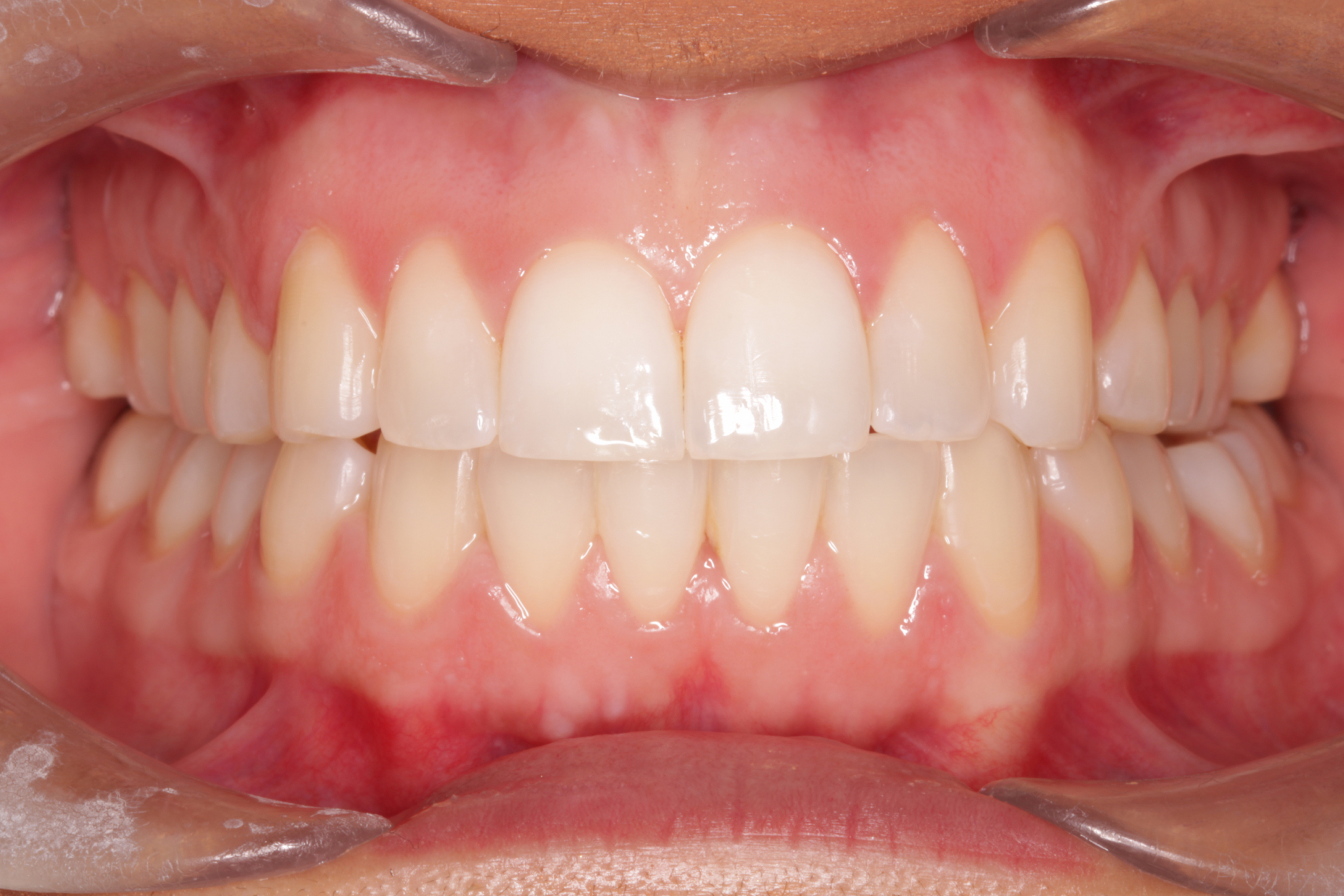
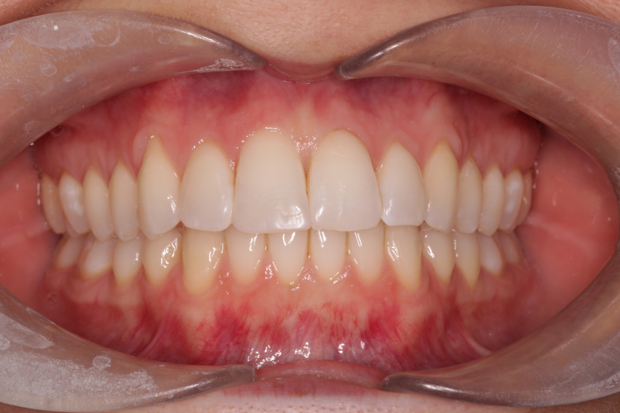
Invisalign is a revolution in orthodontic dentistry. This system is virtually invisible, removable, has no age limit and corrects the alignment of the teeth without needing conventional fixed brackets – “train tracks”.
A range of clear aligners are computer generated to gradually move your teeth into their desired position. These aligners are worn 24 hours a day, except for eating and brushing, and are changed every two weeks.
Call 01582 503040 and speak to our friendly team
The Invisalign treatment uses removable, virtually invisible aligners to discreetly transform your smile without the need for metal braces.
The Invisalign aligners move the teeth into their desired position by applying controlled force where needed. This is a much more comfortable and less painful way of aligning teeth than the traditional way of using braces.
This is dependent and on a case to case basis. Some patients have finished their treatment in as little as 4 months whilst others that have needed more extensive alignments have seen their treatment take around 6+ months.
Not only is the Invisalign treatment more comfortable and provides quicker results, but it is often much cheaper than traditional braces!





